-
23 Март 2026 |
USD / BGN 1.6636
GBP / BGN 2.2450
CHF / BGN 2.1046- Радиация: София 0.11 (µSv/h)
- Времето:
София 0°C 
Лекари от УМБАЛ „Св. Екатерина“ публикуваха в престижното списание Oral Radiology първото подробно описание на изключително редки тумори на околоушната жлеза
23 Март 2026 | 12:25
/КРОСС/ Екипът на Отделението по образна диагностика на УМБАЛ „Св. Екатерина" направи принос в науката и медицината с публикация на изключително рядък тумор на слюнчените жлези в едно от най-реномираните международни издания Oral Radiology.
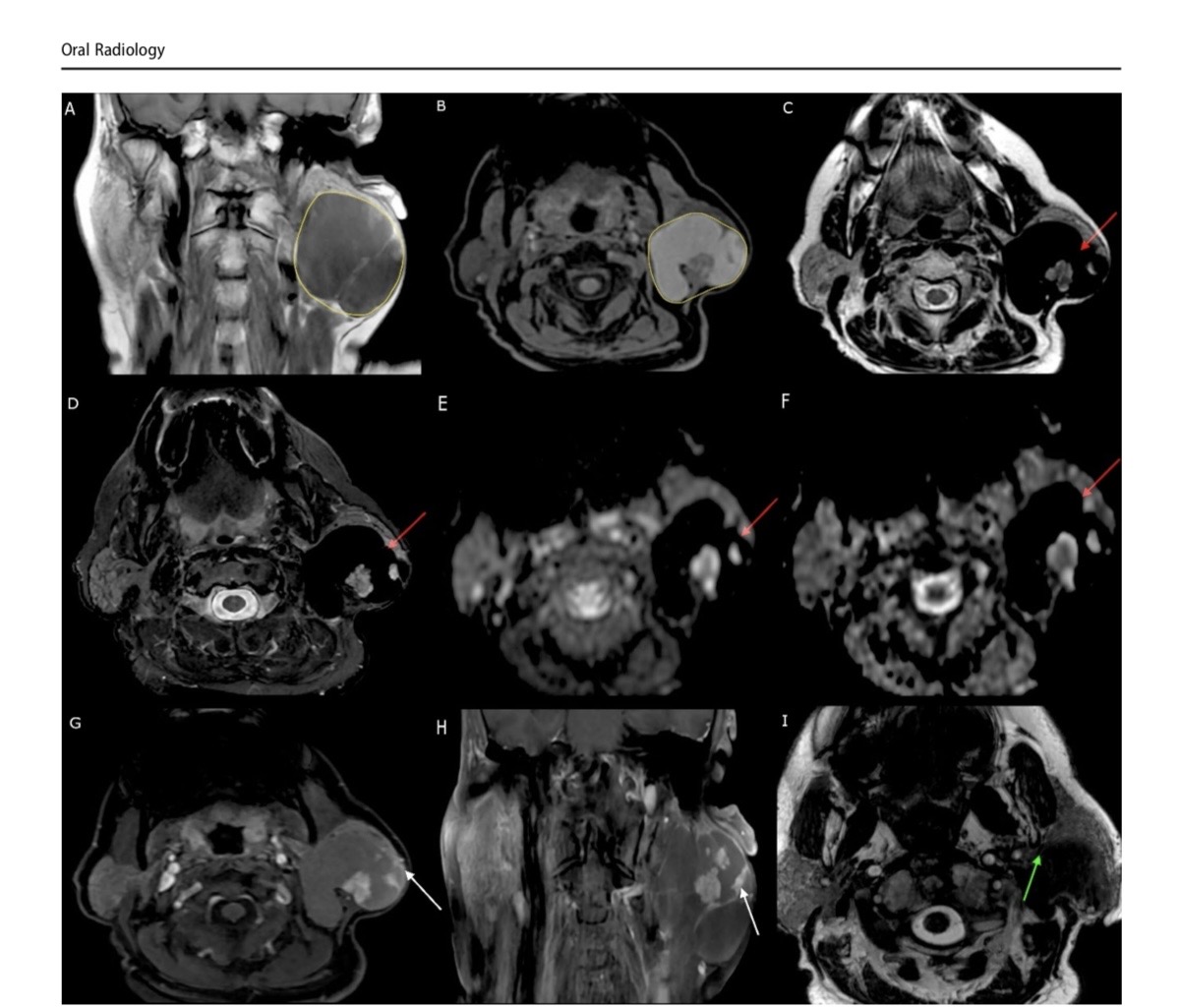
В публикацията на д-р Ния Славкова-Бакич и доц. Мария Недевска, началник на Отделението по образна диагностика на УМБАЛ „Св. Екатерина" са представени два случая на изключително рядък тумор на околоушната (паротидната) жлеза - онкоцитен папиларен кистаденом, чиито образни характеристики до момента не са подробно описвани в научната литература.
Авторите описват за първи път специфични образни находки при този тип тумор, установени чрез мултипараметрична магнитнорезонансна томография (MRI). Според специалистите този образен модел може да подпомогне по-точната предоперативна диагностика на подобни редки образувания и да улесни планирането на хирургичното лечение.
В научната публикация са анализирани два клинични случая на пациентки на 62 и 77 години. И двете жени са потърсили медицинска помощ заради постепенно увеличаващо се подуване в областта на околоушната жлеза. При първата пациентка оплакванията са свързани с безболезнено подуване, което се е развивало в продължение на около две години. Във втория случай се касае за дългогодишно образувание, което през последната година започва да нараства по-бързо и да причинява болка и видима лицева асиметрия.
Образните изследвания - компютърна томография и мултипараметрична магнитнорезонансна томография разкриват характерни особености на тумора. На MRI се установява специфична комбинация от находки: силно понижен сигнал на определени последователности („signal void"), повишен сигнал на T1-претеглени изображения и минимално контрастно усилване на кистозните части на лезията, като усилване се наблюдава основно в папиларните структури. При двата случая е установено изместване, но не и инфилтрация на лицевия нерв - ключова информация за безопасното хирургично лечение.
И при двете пациентки е извършена субтотална консервативна паротидектомия със запазване на лицевия нерв. Следоперативното възстановяване протича без усложнения, а хистологичното изследване потвърждава диагнозата онкоцитен папиларен кистаденом.
Отделението по образна диагностика на УМБАЛ „Св. Екатерина", въпреки че работи в структура на болница с основен сърдечносъдов профил, извършва и високоспециализирана образна диагностика на заболявания в областта на глава и шия. Екипът работи в тясна колаборация с водещи клиники по лицево-челюстна хирургия, което позволява комплексна диагностика и прецизно планиране на лечението при сложни и редки случаи.
Публикуването на тези случаи в международното списание Oral Radiology е значим принос към научната литература, тъй като предоставя нови данни за образните характеристики на този рядък тумор и може да подпомогне специалистите по света при разпознаването му още преди хирургичното лечение.

