-
23 Апр 2026 |
USD / BGN 1.6636
GBP / BGN 2.2450
CHF / BGN 2.1046- Радиация: София 0.11 (µSv/h)
- Времето:
София 0°C 
Регистрираха първи случай на Ку-треска за годината
23 Април 2026 | 16:01
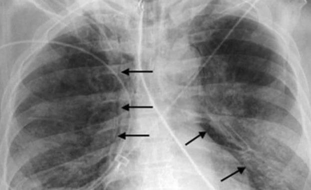
/КРОСС/ Регионалната здравна инспекция в Пловдив потвърди първи случай на ку‑треска за 2026 г.
Засегнат е 67‑годишен мъж, който е приет в болница на 6 април с двойна бронхопневмония. След проведено лечение пациентът е изписан седмица по‑късно.
Директорът на дирекция „Надзор на заразните болести" в РЗИ‑Пловдив д-р Милена Панайотова уточни, че подобни случаи не са нещо необичайно. По думите ѝ заболяването не е „екзотично" и не е внесено отвън, като през годините в областта са регистрирани и други инфекции.
Какво представлява ку‑треската?
Ку‑треската е бактериална инфекция, причинена от Coxiella burnetii. Заразяването най-често става чрез вдишване на прахови частици, съдържащи бактерията, контакт с мляко, урина, изпражнения или секрети на заразени животни (обикновено овце, кози, говеда).
По-рядко заболяването се предава чрез кърлежи. Инкубационният период е между 9 и 40 дни. Хората са силно чувствителни към инфекцията и дори малък брой бактерии могат да доведат до заболяване.